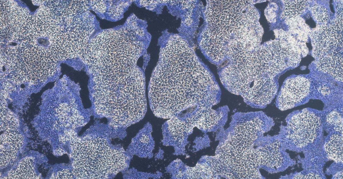
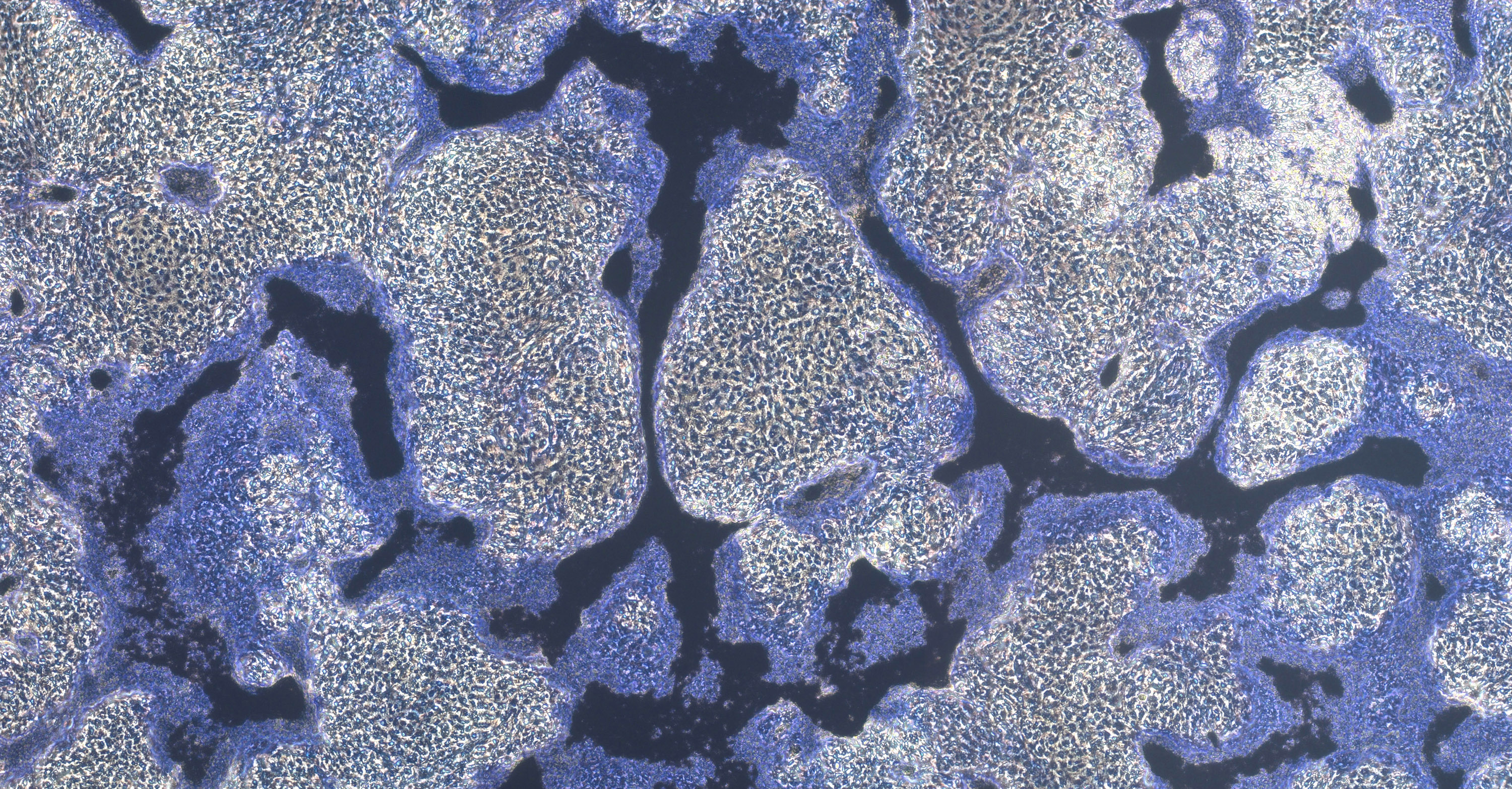
Bone formation by cultured osteoblasts (ALP stain) Published December 9, 2015 at 3000 × 1565 in Welcome ← Previous Next → Bone formation by cultured rat osteoblasts; ALP stain (t.arnett@ucl.ac.uk)